revealCVD – CERG

revealCVD: What do small particles in the blood tell us about future health risk?
Can the blood levels of small molecules such as microRNAs and subfractions of lipoproteins help us find out who is more susceptible to lifestyle diseases in the future?

Background
Blood tests already help us to find out whether a person has an increased risk of cardiovascular disease. But many people get such diseases even if they have normal levels of fats, blood sugar and other traditional risk markers. There are probably more substances than we know of today, that can say something about the risk of being affected. The revealCVD project attempts to find new biomarkers for cardiovascular disease.
New methods of analysis make it possible to analyze ever smaller components of our blood. Among the substances we examine in revealCVD are various types of proteins, metabolites, microRNAs and subfractions of lipoproteins. By measuring these substances in large populations, and comparing people who get sick with people who stay healthy, we can find biomarkers with the potential to warn of future disease risk.
revealCVD also wants to find out what leads to increased or decreased levels of various biomarkers of cardiovascular disease. If we manage to uncover the mechanisms, we will gain knowledge that can help us prevent atherosclerosis and cardiovascular disease.
Biomarkers, atherosclerosis and cardiovascular risk
Are the blood levels of micro-RNAs and subfractions of lipoproteins associated with dangerous plaques in the coronary arteries of heart patients? And can these biomarkers help us reveal who is at high risk of a heart attack?
Exercise, microNRAs and atherosclerosis
Does endurance exercise change the levels of microRNAs in the blood after a heart attack? And how do these changes affect the composition of the plaque in the blood vessels of the heart?
Master's projects
Lipoproteins and coronary plaques
Do the levels of various fatty substances in the blood reveal which heart patients have the most severe formation of plaques in the coronary arteries?

Exercise and lipoprotein profile
What can the levels of 99 different lipoproteins in the blood tell us about the aerobic fitness of healthy adults?
Machine learning and prediction of cardiovascular disease
Can classification methods from statistical learning give us better models to predict who will be affected by cardiovascular disease?
Results from revealCVD
Here we summarize the published results from the revealCVD project as they are published. Those particularly interested can read the research articles in the scientific journals where they have been published.
- Found three microRNAs associated with low physical capacity
- High-risk patients with aortic stenosis can be identified by measuring microRNAs
- Five microRNAs can reveal the risk of a heart attack
- Exercise can change microRNA levels
- Low fitness is linked to adverse lipid profile
- microRNAs that change following exercise are linked to less vulnerable plaques in heart patients
- Lipoprotein subfractions reveals little about coronary plaque content
- Risk of heart attack is not revealed by measuring lipoprotein subfractions
- Micro-RNA 133b is linked to more lipid-rich plaques in patients with coronary heart disease
We found increased levels of three microRNAs in the blood of people who have low maximum oxygen uptake. MicroRNAs are tiny particles that regulate the activity of our genes. Low physical fitness is closely linked to an increased risk of developing cardiovascular disease, regardless of other risk factors. We found no association between the three microRNA molecules and risk factors such as blood pressure, cholesterol profile, smoking habits or obesity. Thus, it is conceivable that these micro-RNAs are independent biomarkers for future cardiovascular risk.
The first part of the study is based on blood samples from 24 participants in the HUNT3 Fitness Project. All were between 40 and 45 years old. Half of them were in good shape, while the other 12 had a low maximum oxygen uptake, even though both group claimed to be equally physically active and had the same BMI, blood pressure, blood sugar and cholesterol levels. We found different levels of seven microRNA molecules in the two groups, either for both or one of the sexes. We then examined the same microRNAs in a new group of 76 participants with either high or low maximal oxygen uptake. These studies confirmed that microRNA-210 and -222 were increased in participants with low fitness. In addition, micro-RNA-21 was elevated in men with low fitness.
The levels of microRNA-210 are increased in moderate and severe aortic stenosis, and high levels may predict early death among patients. Aortic stenosis means that the heart valve, which controls the flow of blood from the heart to the aorta, becomes calcified and stiff, and that the valve thus cannot open normally. We have previously linked the same micromolecule to low aerobic fitness.
We know that low fitness is an important risk factor for new cardiovascular events among patients with aortic stenosis. In the new study, in collaboration with researchers at Akershus University Hospital and the University of Oslo, we measured the concentration of microRNA-210 in 57 patients with moderate or severe aortic stenosis. When we compared with ten healthy control subjects, we found that the levels were on average twice as high in the patients. Thus, we believe that microRNA-210 can act as a marker to earlier identify people at high risk of aortic stenosis.
About a quarter of the patients died during a follow-up period of just over three years. There was a clear association between high levels of microRNA-210 and the risk of death, even after the analyzes were adjusted for other risk factors. In other words, microRNA-210 gives us additional information to other established risk factors in this patient group.
Some of those affected by heart attacks have none of the traditional risk factors. A simple blood test that measures the levels of five different microRNAs could make it easier to identify healthy people who are at increased risk of dying from a heart attack in the next ten years. MicroRNAs are small RNA molecules that help regulate the activity of genes inside our cells.
We analyzed blood samples that had been taken from 112 healthy people when they participated in the second health survey in Nord-Trøndelag (HUNT2) between 1994 and 1996. Half of them died as a result of a heart attack during the next ten years. The levels of 10 of the 179 microRNA molecules we analysed, were different in this group, compared to otherwise similar people who did not have a heart attack. We then came up with the combination of five different microRNA molecules that could contribute the most to identifying patients at risk.
In a comprehensive review article, we provide an overview of how exercise can change the levels of microRNAs in the blood and the gene expression of these micromolecules in the heart and skeletal muscles. MicroRNAs are small RNA molecules that help regulate the activity of genes inside cells. There are probably more than 1,000 different types of microRNA molecules, and it is not unlikely that the vast majority of our genes are controlled by these micromolecules.
The literature published to date suggests that exercise can bring about acute and chronic changes in the production of microRNAs in the heart and circulating levels in the blood. However, the changes seem to depend on the type of exercise used, and swimming, running and strength training have been shown to have an effect on different microRNAs. This is something that needs to be researched more, and in the future a better understanding of the role different of microRNAs for favorable training adaptations can be of help both in preventing and treating cardiovascular disease.
The lipoprotein profile of healthy people with low maximum oxygen uptake is similar to the lipoprotein profile of people with insulin resistance. We know that persons with low cardiorespiratory fitness have an increased risk of cardiovascular disease, and an unfavorable lipoprotein profile appears to be a probable part of the explanation. The results are based on data from the fitness testing of 211 healthy, middle-aged Norwegians who participated in the HUNT3 Fitness project. Half had high fitness, while the other half had low fitness, despite the fact that both groups were the same age and reported the same level of physical activity.
In the study, we used advanced nuclear MRI technology to study the levels of fats in 99 subgroups of the lipoproteins HDL, LDL, VLDL and IDL. Especially in the largest of the VLDL particles, we found increased levels of lipids such as cholesterol and triglycerides in those with low fitness. This group also had 15% higher VLDL levels overall. In addition, they had higher fat content in small LDL and HDL particles. HDL particles are often referred to as "good cholesterol" because they can protect against atherosclerosis, but this probably only applies to large and medium-sized HDL particles. Small LDL particles can also play an important role in the formation of harmful plaques in blood vessels.
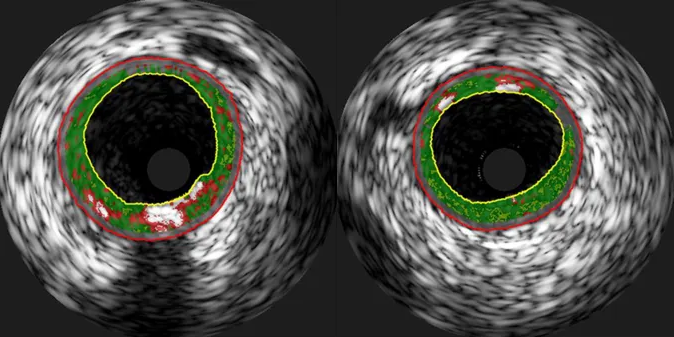
We have found four micro-RNA molecules that change levels after a period of exercise, and which are also associated with reduced plaque burden in the coronary arteries of heart patients. The results come from a study in which 31 patients either trained intensive intervals or with moderate intensity three days a week after they had opened narrow blood vessels in the heart. We examined their vessels with intravascular ultrasound both before and after the exercise period.
Micro-RNAs are tiny particles that regulate the activity of our genes. Many micro-RNA molecules are involved in various stages of the atherosclerosis process that clog blood vessels and lead to cardiovascular disease. In this study, we pre-defined 13 micro-RNA molecules that we examined further, based on results from previous studies.
After three months of training, the levels of micro-RNA-146a-5p had increased, while the levels of micro-RNA-15a-5p, 93-5p and 451a had decreased. All of these changes were also linked to a reduction in the total amount of plaque in the blood vessels of the patients. The study can not say anything about causation, but we can speculate that exercise leads to changes in micro-RNA that are beneficial in reducing coronary artery plaques in heart patients.
In addition, we found that the levels of six micro-RNA molecules were linked to a larger necrotic core. This plaque core consists of inflammatory cells and fat, and plaques with a lot of fat are more vulnerable to rupture that leads to heart attacks. However, changes in this necrotic core after an exercise period were not related to how micro-RNA levels changed during the same period.
Lipid levels provide limited information on plaque content in heart patients

Using advanced analyses, we found two types of lipid particles that can potentially tell us something about the lipid content of plaque in patients with stable coronary artery disease. The patients with increased levels of lipoprotein(a) in the blood had, on average, slightly more fatty plaques in the heart's coronary arteries than patients with normal lipoprotein(a) levels. In addition, higher levels of free cholesterol in the smallest HDL particles were also associated to some extent with increased plaque lipid content. The two fatty substances did not, however, give us additional information about the plaque content beyond what we got by measuring traditional risk factors for cardiovascular disease.
Fatty plaques are more unstable than plaques with less fat, and thus increases the risk of a heart attack. However, it is difficult to measure the plaque content in the coronary arteries accurately, and it would be very useful to find biomarkers in the blood that can tell whether the calcifications contain much or little fat.
In the study, we examined the levels of 114 different lipoprotein groups in 56 patients with stable coronary artery disease. The analyzes does not only look at the levels of, for example, plain LDL and HDL cholesterol, but also the size, density and fat content of the various lipoprotein particles. The patients in the study underwent an advanced, invasive examination of the heart's coronary arteries, so that we could study the associations between the various fatty substances in the blood and the content of the most fatty plaques in the blood vessels of each patient.
Among middle-aged and elderly people with a low risk of heart attack, we found no definite relationship between the levels of 112 different lipoprotein particles and future heart attack. In addition to looking at the total levels of, for example, LDL and HDL cholesterol in the blood, we divided these classic lipoproteins into groups based on size, density and concentration of lipids in the lipoprotein particles. Thus, we had the opportunity to look at whether, for example, small and dense HDL and LDL particles with a high concentration of cholesterol and other fatty substances were differently associated with heart attack risk than larger and less dense particles with a low fat content.
The study includes 50 people who had a heart attack within five years despite being healthy and having few or none of the classic risk factors when they participated in the third health survey in Nord-Trøndelag between 2006 and 2008. We compared them with 100 participants who did not have a heart attack within ten years but otherwise were similar to the participants who had a heart attack.
The main analyzes showed no clear connection between any of the 112 subfractions of lipoproteins and the risk of having a heart attack. In less rigid analyses, we found a connection between a high concentration of apolipoprotein A1 in the smallest HDL particles and an increased risk of future heart attack. For men, a low concentration of several lipids in large HDL particles was also linked to an increased heart attack risk. So, although we did not make any definite findings, the results provide a basis for looking more closely at whether subfractions of HDL particles can give us useful information about who is at increased risk of suffering a heart attack.
Micro-RNA in the blood can reveal dangerous plaque in heart patients

The more fatty plaques the heart patients had in their coronary arteries, the higher were the levels of micro-RNA 133b in their blood. Thus, a blood test that analyzes this micromolecule can possibly help us to identify which patients are at high risk of having plaques that are likely to rupture and cause a heart attack.
Micro-RNAs are tiny molecules that regulate the activity of our genes. There are several thousand such micromolecules, and in our study we measured the levels of 160 different micro-RNAs in 47 patients with stable coronary artery disease. We also took ultrasound images of the inside of the patients' coronary arteries, and with the method of near-infrared spectroscopy we found the most fatty plaques.
Of all the microRNAs we examined, it was microRNA 133b that was most closely linked to plaque lipid content. The correlation was not weakened when we adjusted for traditional risk factors for cardiovascular disease. This suggests that micro-RNA 133b itself can reveal fatty plaques, but the strength of the association was moderate, and larger studies are needed to provide firm conclusions.
List of scientific publications from revealCVD
2023:
Sæther, J. C., Vesterbekkmo, E. K., Taraldsen, M. D., Gigante, B., Follestad, T., Røsjø, H. R., Omland, T., Wiseth, R., Madssen, E., & Bye, A. (2023). Associations between circulating microRNAs and lipid-rich coronary plaques measured with near-infrared spectroscopy. Scientific Reports, 13(1), 7580.
Sperstad, S. B., Sæther, J. C., Klevjer, M., Giskeødegård, G. F., Bathen, T. F., Røsbjørgen, R., Dalen, H., & Bye, A. (2023). Lipoprotein subfraction profiling in the search of new risk markers for myocardial infarction: The HUNT study. Plos one, 18(5), e0285355.
Sæther, J. C., Vesterbekkmo, E. K., Gigante, B., Giskeødegård, G. F., Bathen, T. F., Follestad, T., Wiseth, R., Madssen, E., & Bye, A. (2023). The association between circulating lipoprotein subfractions and lipid content in coronary atheromatous plaques assessed by near-infrared spectroscopy. IJC Heart & Vasculature, 46, 101215.
2022:
Sæther, J. C., Klevjer, M., Giskeødegård, G. F., Bathen, T. F., Gigante, B., Gjære, S., Myhra, M., Vesterbekkmo, E. K., Wiseth, R., Madssen, E., & Bye, A. (2022). Small LDL subfractions are associated with coronary atherosclerosis despite no differences in conventional lipids. Physiological Genomics.
Taraldsen, M. D., Wiseth, R., Videm, V., Bye, A., & Madssen, E. (2022). Associations between circulating microRNAs and coronary plaque characteristics: potential impact from physical exercise. Physiological Genomics.
Nodeland, M., Klevjer, M., Sæther, J., Giskeødegård, G., Bathen, T. F., Wisløff, U., & Bye, A. (2022). Atherogenic lipidomics profile in healthy individuals with low cardiorespiratory fitness: The HUNT3 fitness study. Atherosclerosis
2021:
Rutkovskiy, A., Lyngbakken, M. N., Dahl, M. B., Bye, A., Pedersen, M. H., Wisløff, U., Christensen, G., Høiseth, A. D., Omland, T., & Røsjø, H. (2021). Circulating MicroRNA-210 Concentrations in Patients with Acute Heart Failure: Data from the Akershus Cardiac Examination 2 Study. Clinical Chemistry.
2020:
Gigante, B., Papa, L., Bye, A., Kunderfranco, P., Viviani, C., Roncarati, R., Briguori, C., de Faire, U., Bottai, M., & Condorelli, G. (2020). MicroRNA signatures predict early major coronary events in middle-aged men and women. Cell death & disease, 11(1), 1-3.
2019:
Velle-Forbord, T., Eidlaug, M., Debik, J., Sæther, J. C., Follestad, T., Nauman, J., Gigante, B., Røsjø, H., Omland, T., Langaas, M., & Bye, A. (2019). Circulating microRNAs as predictive biomarkers of myocardial infarction: Evidence from the HUNT study. Atherosclerosis.
2017:
Silva, G. J., Bye, A., el Azzouzi, H., & Wisløff, U. (2017). MicroRNAs as important regulators of exercise adaptation. Progress in cardiovascular diseases, 60(1), 130-151.
2016:
Bye, A., Røsjø, H., Nauman, J., Silva, G. J., Follestad, T., Omland, T., & Wisløff, U. (2016). Circulating microRNAs predict future fatal myocardial infarction in healthy individuals–The HUNT study. Journal of molecular and cellular cardiology, 97, 162-168.
2014:
Røsjø, H., Dahl, M. B., Bye, A., Andreassen, J., Jørgensen, M., Wisløff, U., Christensen, G., Edvardsen, T., & Omland, T. (2014). Prognostic value of circulating microRNA-210 levels in patients with moderate to severe aortic stenosis. PLoS One, 9(3), e91812.
2013:
Bye, A., Røsjø, H., Aspenes, S. T., Condorelli, G., Omland, T., & Wisløff, U. (2013). Circulating microRNAs and aerobic fitness–the HUNT-Study. PloS one, 8(2), e57496.
Send us an e-mail:
cerg-post@mh.ntnu.no
Send us regular mail:
NTNU, Fakultet for medisin og helsevitenskap
Institutt for sirkulasjon og bildediagnostikk
Postboks 8905
7491 Trondheim
Visit us:
St. Olavs Hospital
Prinsesse Kristinas gt. 3
Akutten og Hjerte-lunge-senteret, 3. etg.
7006 Trondheim












